インプラント治療・セラミック治療・マウスピース矯正・精密根管治療
|
70代女性 主訴:左上の奥歯が抜けた インプラント治療をしたい 歯を綺麗にしたい |
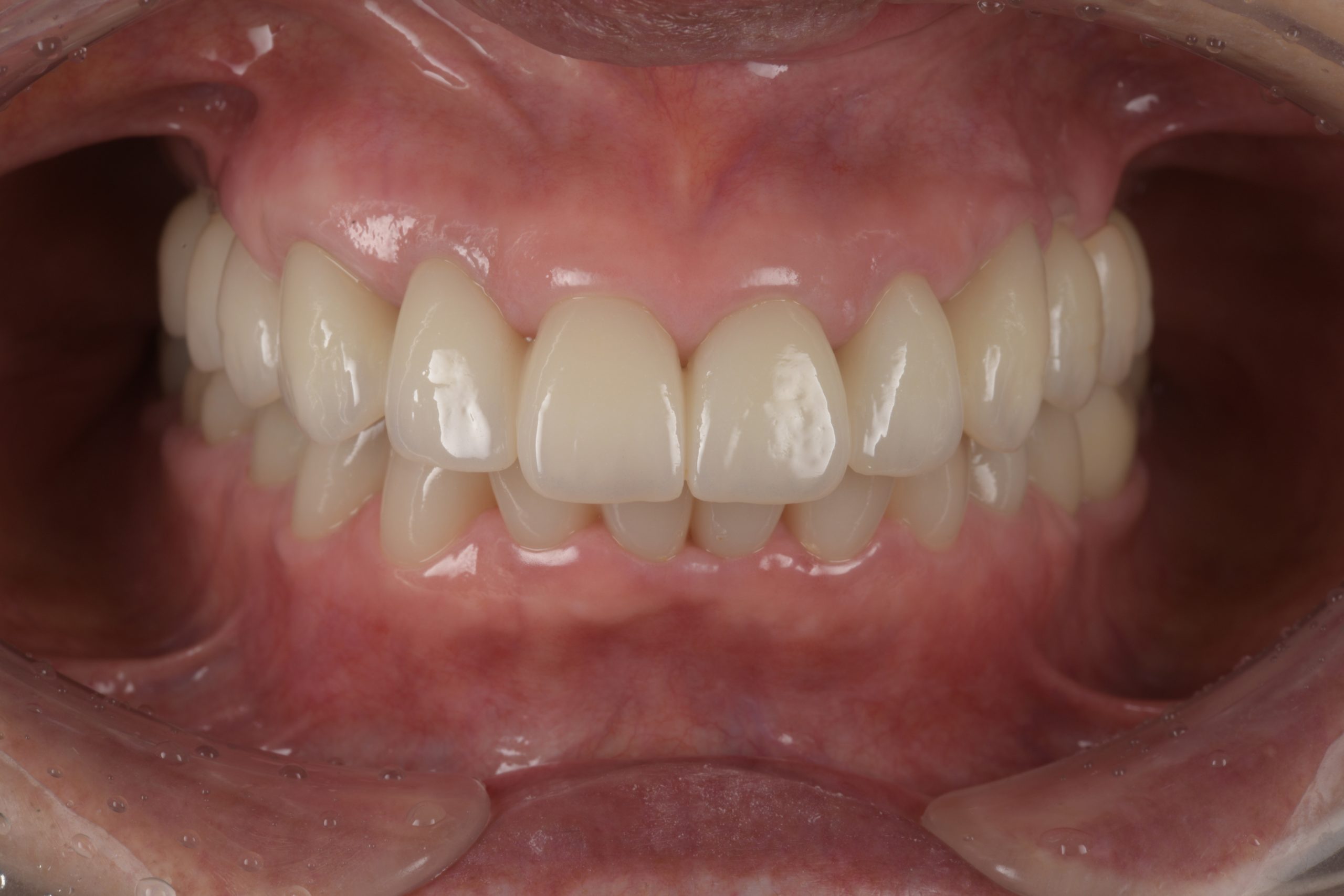
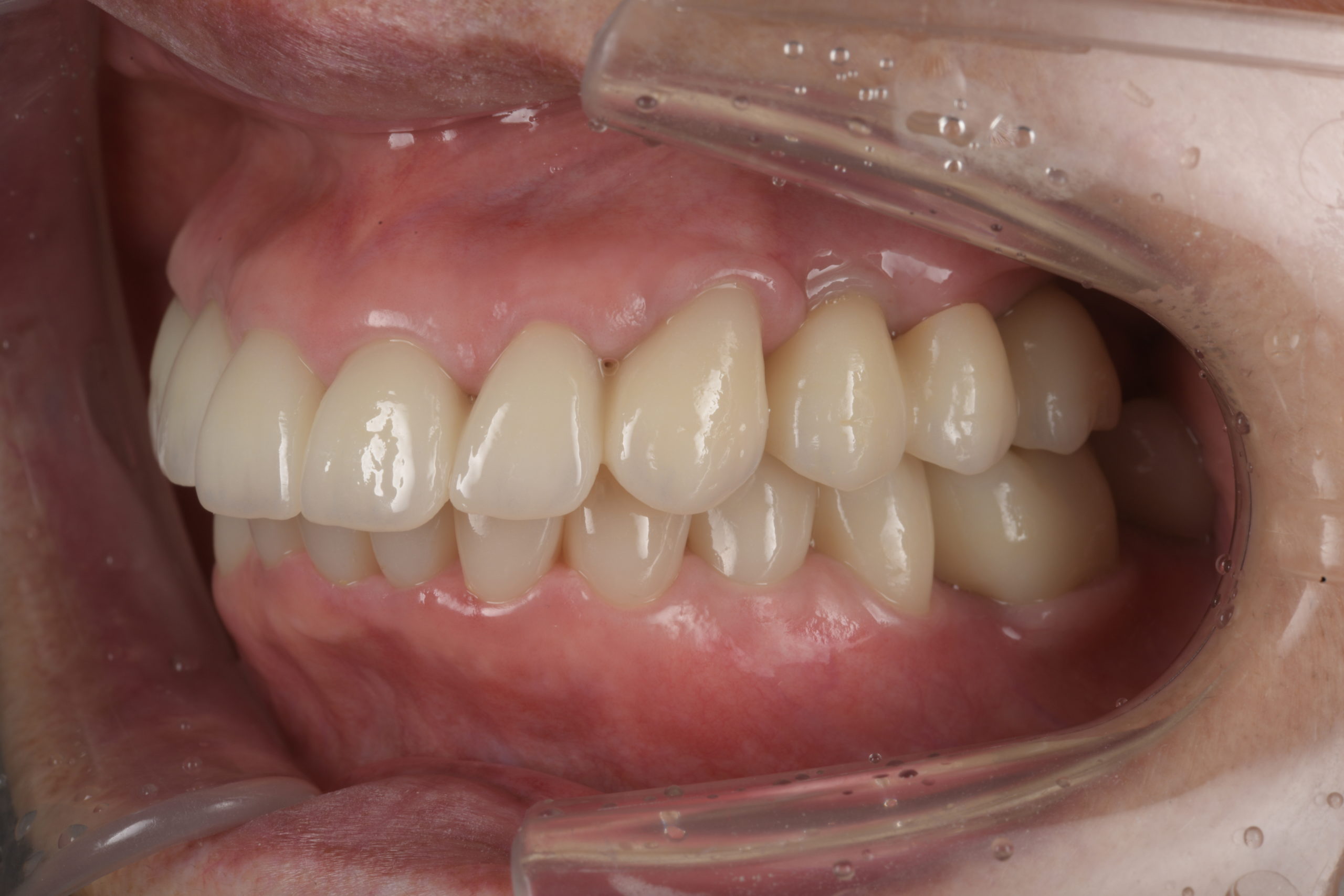
患者様は70代女性。左上の奥歯が取れてしまったことで来院されました。脱落してしまった左上の奥歯は、長い間、鉤歯として義歯を支えておりましたが、過重な負担で歯根破折を起こし、抜歯となりました。抜歯後、患者様より『今までのような入れ歯ではなく、インプラント治療を行い、しっかりと噛めるようにしたい』とのご要望がありましたので、精査を行い、インプラント治療の計画を立てました。ご高齢ということもあり、手術時の侵襲をできる限り少なくするために、フラップレスサージェリー(歯肉に直径4㎜ほどの穴をあけるだけで、行う手術)を選択致しました。 また、古い被せ物の虫歯治療やマウスピースによる歯列矯正もこの機会に治療させていただきました。セラミッククラウンによる治療を行うことにより、プラークの付着がほとんど無い非常に清潔な口腔内となりました。現在、治療完了から5年以上が経過しておりますが、何のトラブルもなく経過しております。今でも患者様は3ヶ月に1回の定期検診にご来院いただいておりますが、その度に『インプラント治療により、硬い物でも何でも噛めるようになり本当に快適です。良く噛めます。あの時治療して本当に良かった。ありがとうございます。』とお褒めの言葉をいただき、大変励みになっております。 |
|---|
治療前(正面)
治療後(正面)
治療後(右側面)
治療後(左側)
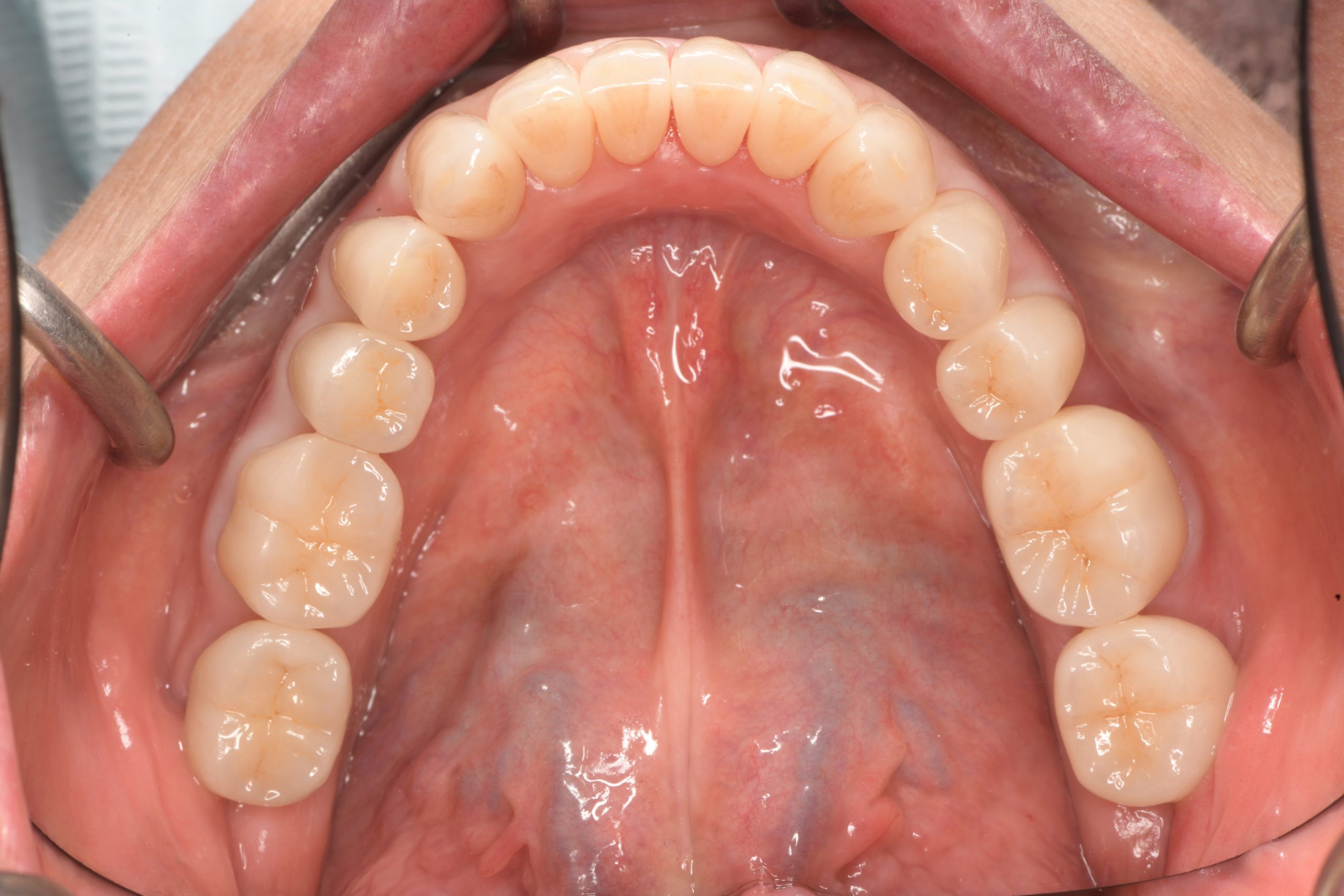
治療前(上顎)
治療後(上顎)
治療前(下顎)
治療後(下顎)
| 治療期間 | 約1年半 |
|---|---|
| 費用 | 税込6,055,500円 |
| リスク | セラミックによる修復物は、稀にかけてしまうことがあります。 インプラント治療後は、定期的なメインテナンスが必要となります。 |