精密根管治療・MTM治療・セラミック治療
|
70代男性 主訴:歯が割れて痛む 抜歯しない治療を希望 |
患者様は70代男性。食事中に固いものを食べて、歯が割れてしまったとのことで来院されました。亀裂は歯の内部の神経まで到達し、亀裂の断端は歯茎の奥深くまで達しておりました。状況からみて抜歯の可能性についてもご説明しましたが、患者様は歯の保存を強く希望されましたので、精密根管治療、MTM治療(矯正的挺出)、歯周外科処置を行い、歯牙を保存する治療方法を行いました。 現在術後3年が経過しておりますが、特に問題なく経過しております。患者様からは、「抜歯せずに歯を残していただき本当に良かったです!ありがとうございました。」とお喜びの声をいただきました。このように当院では、様々な方法を駆使して歯を残す治療を行っております。歯を抜かない治療、歯の保存をご希望の患者様は是非一度当院にご相談ください。 |
|---|
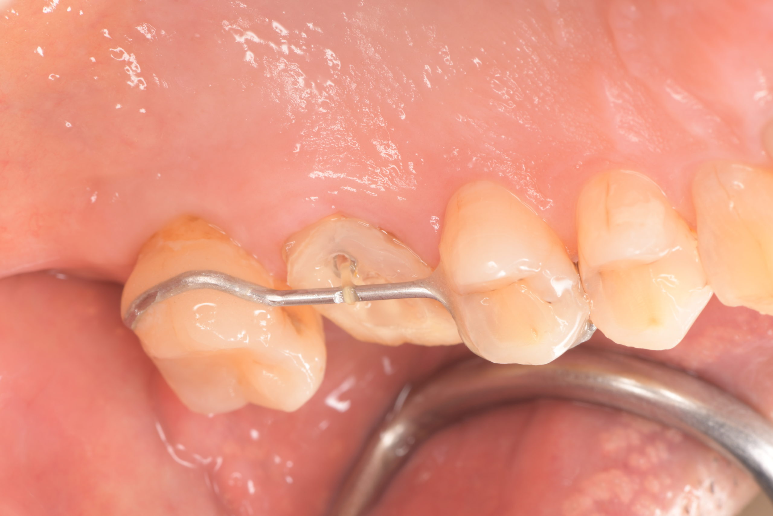
歯の破折片を撤去すると、亀裂は歯の内部の神経まで達し、断端は歯ぐきの奥深くまで達しておりました。
止血し、虫歯を除去し、歯を綺麗な状態にします。
隔壁、ラバーダム防湿を行い、マイクロスコープにて精密根管治療を行います。
MTM治療(矯正的挺出)を開始。
MTM治療終了。
歯ぐきを切開し、骨の形を整えます。(歯周外科処置)
縫合し、歯周外科処置完了。
ファイバーコアにて築造。
歯ぐきが完全に治癒した後、印象採得。
セラミッククラウンの装着
| 治療期間 | 約半年 |
|---|---|
| 費用 | 税込385,000円 |
| 治療のデメリット | 一度破折した歯や深い虫歯の歯を残す場合、残りの歯が薄くなっている部分もあるため、歯根の破折のリスクがあります。 |