精密義歯治療・セラミック治療
|
70代女性 主訴:左下の奥歯が痛い 入れ歯が合わない 違和感のない入れ歯を作りたい 口元を綺麗にしたい |
患者様は70代女性。左下の奥歯の痛みと義歯の作り直しを希望され来院されました。義歯の作り直しについては、できるだけ違和感のないもので、かつ見た目も綺麗な口元にしたいとのご要望がございました。 左下の奥歯は重度の歯周病のため抜歯を行い、その後残りの歯をセラミッククラウンにて補綴し、上下の金属床義歯を作製致しました。 治療後の経過は良好で、患者様より「上の入れ歯も下の入れ歯もピタッとしていて非常に快適です。上の入れ歯は以前のように食事中落ちてくることもなく非常に食べやすいです。見た目も綺麗な口元になり非常に満足しています。ありがとうございました。」とのお言葉をいただきました。 当院ではこのような機能的、審美的に良好な精密義歯治療に力を入れております。お気軽にご相談ください。 |
|---|
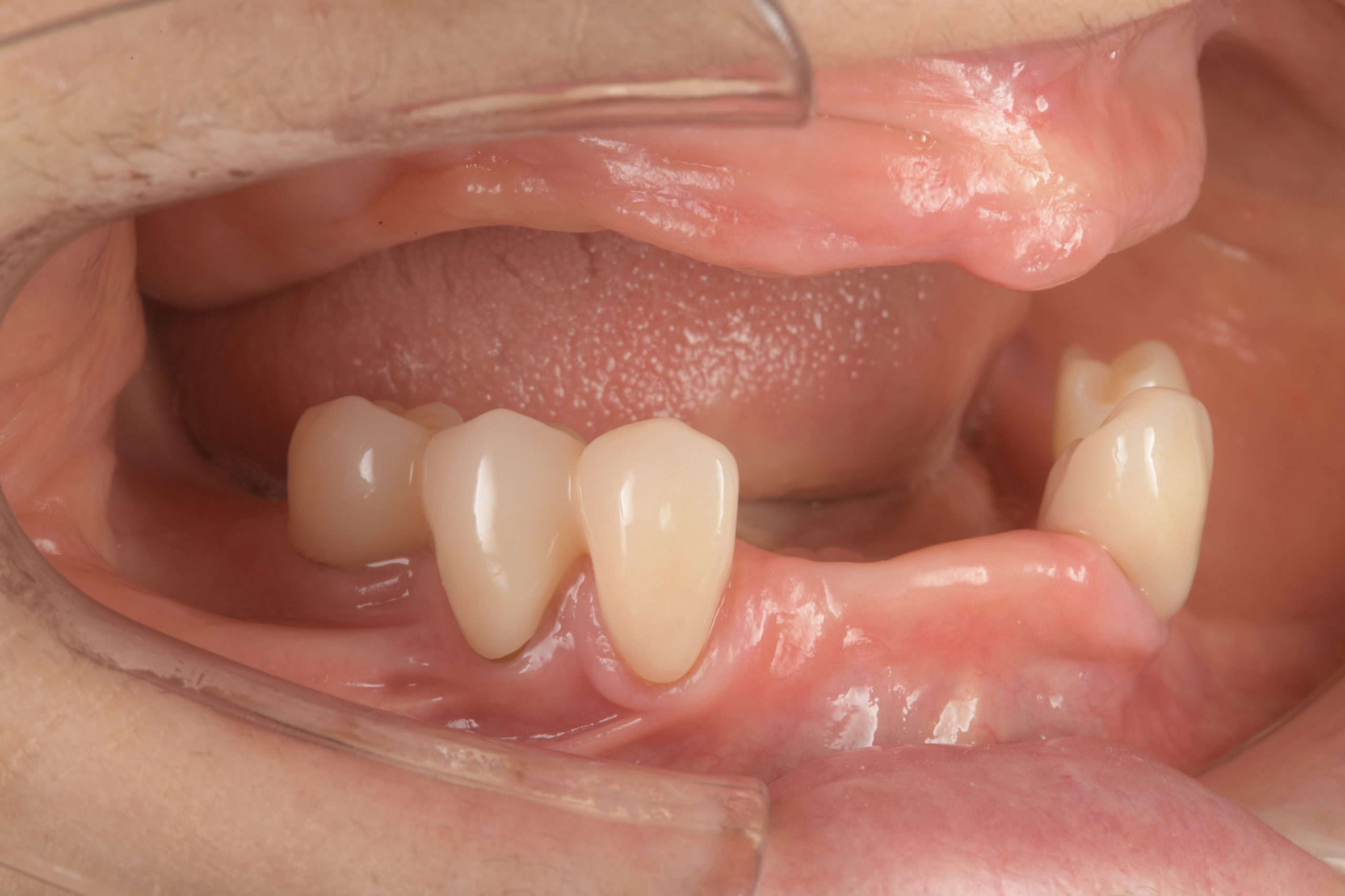
治療前
治療後
治療後
治療後
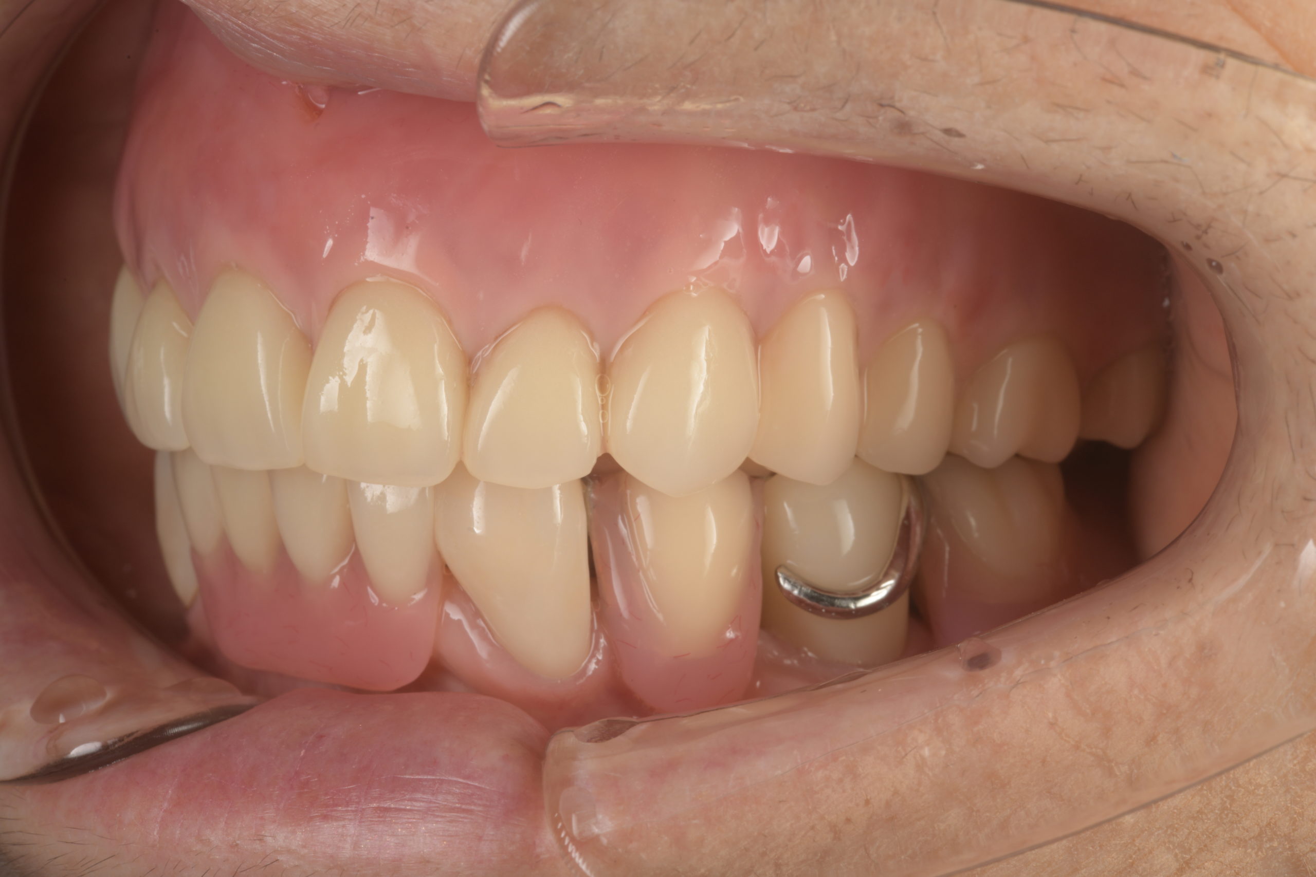
治療後(義歯装着時)
治療後(義歯装着時)
治療後(義歯装着時)
| 治療期間 | 約10ヶ月 |
|---|---|
| 費用 | 税込1,760,000円 |
| リスク | 義歯は長年使用すると、破損する場合があります。その都度修理が必要となります。 |