インプラント治療・セラミック治療
|
70代女性 主訴:入れ歯が合わない 歯が抜けてしまった インプラント治療を希望 |
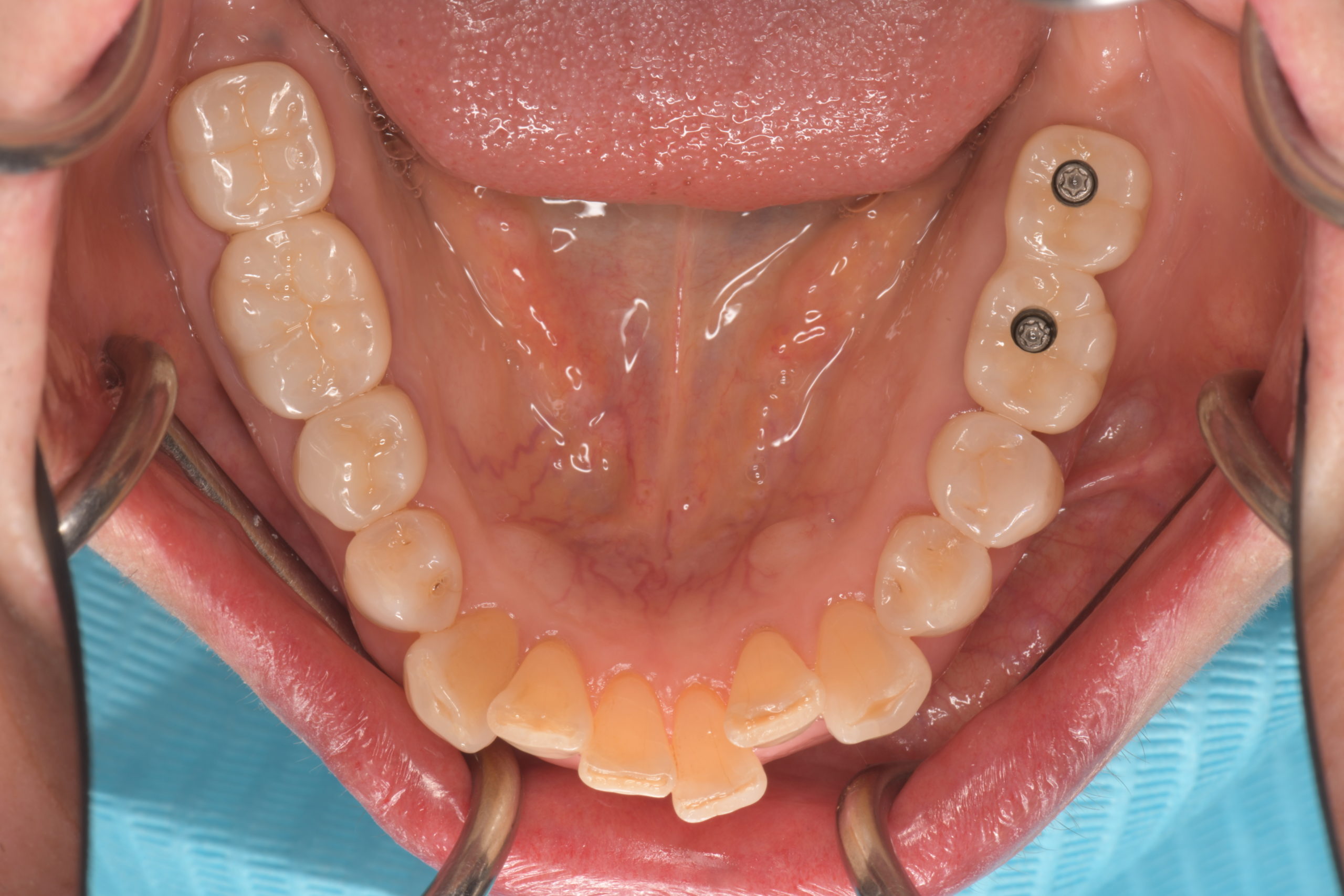
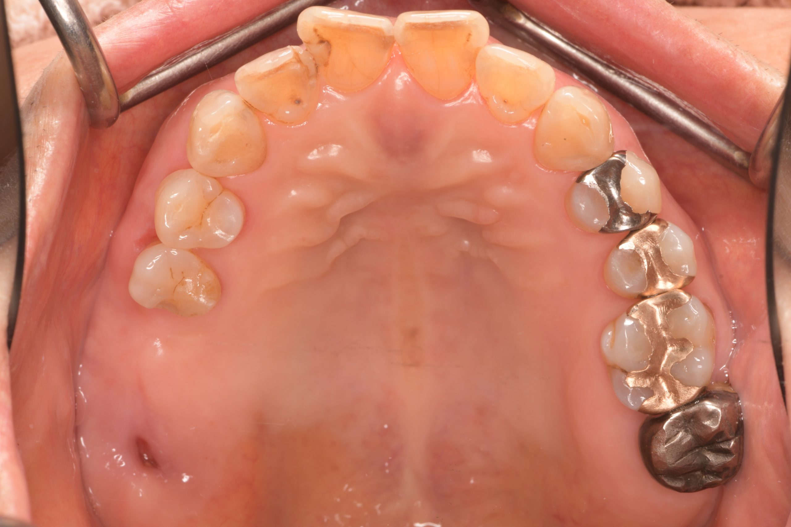
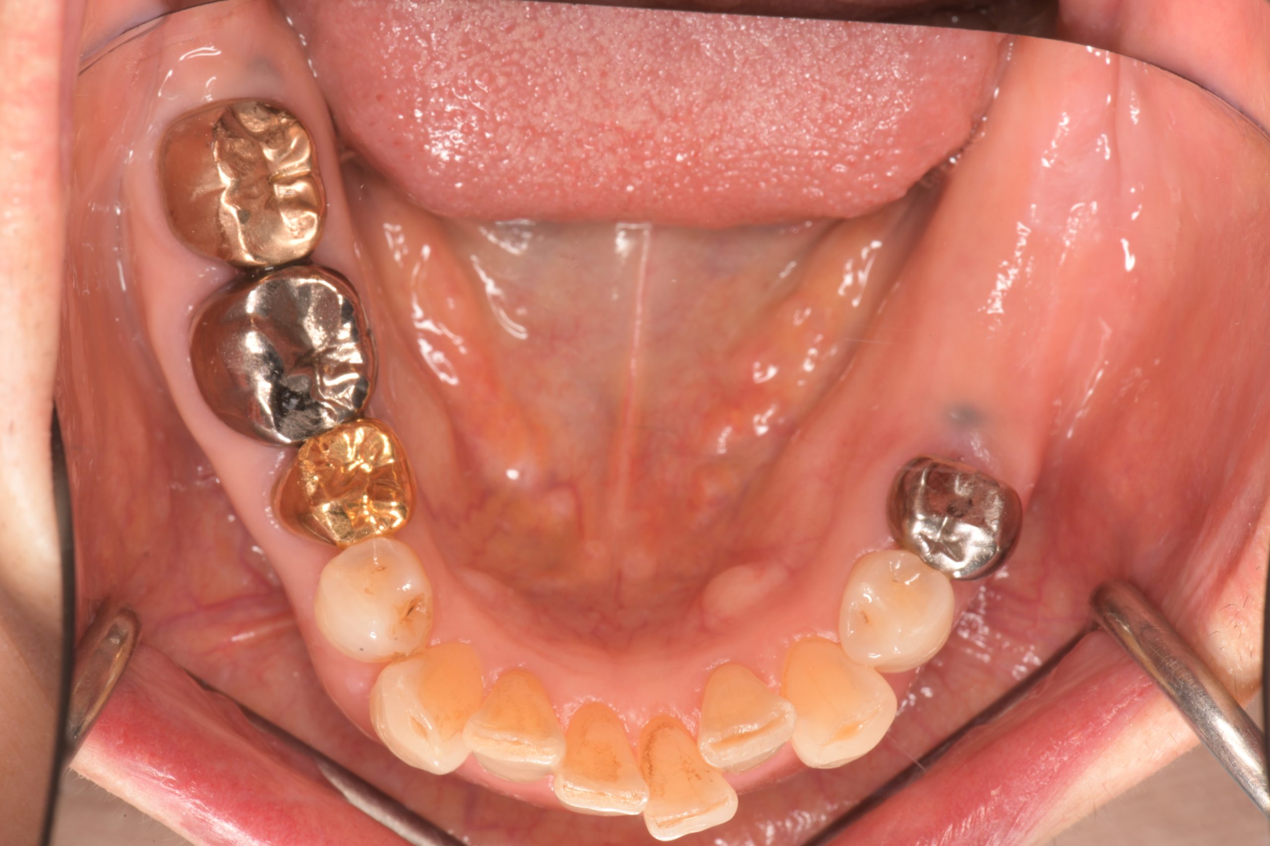
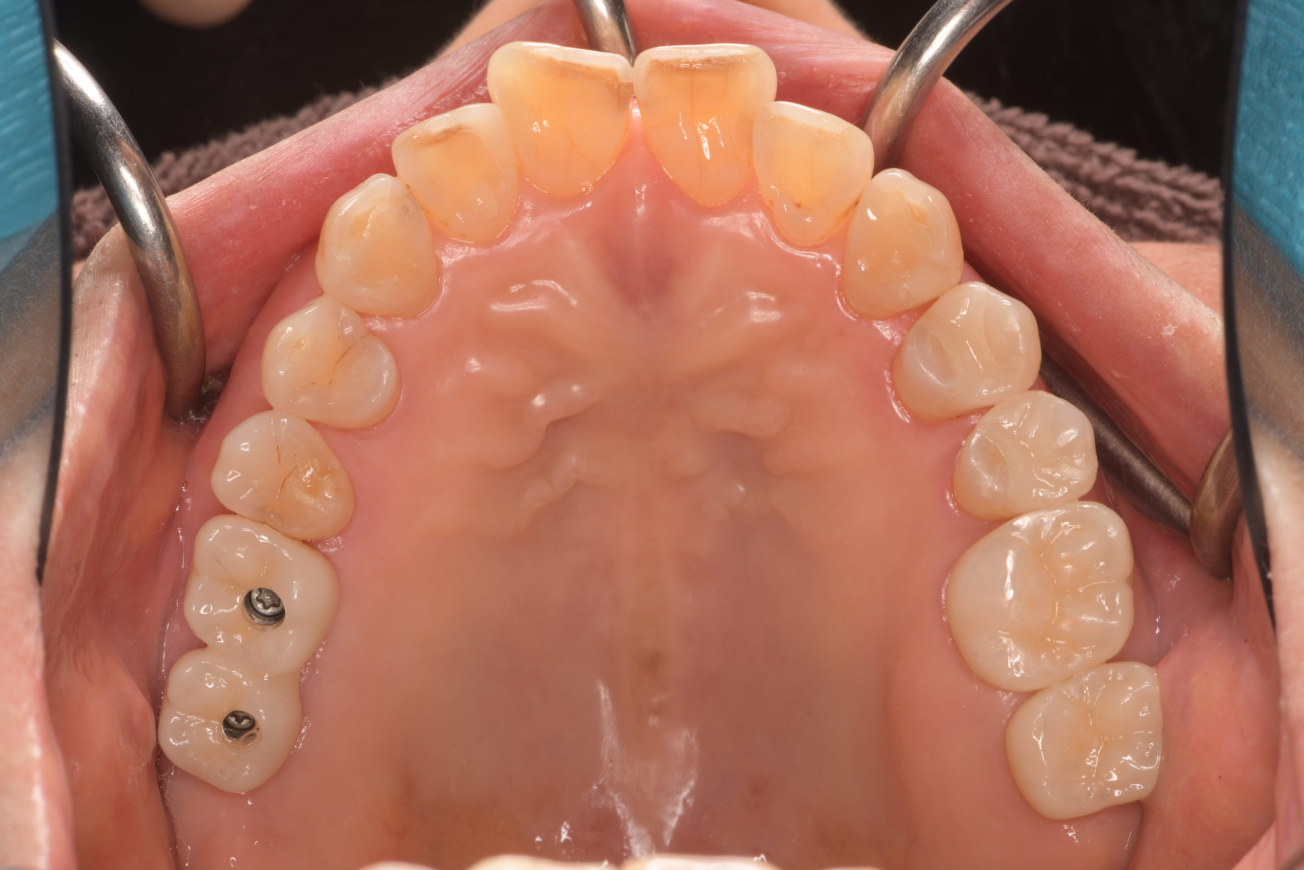
患者様は、70代女性。長年入れ歯の不快感に悩まれていたそうです。今回、右上の奥歯が抜けてしまったことをきっかけに来院されました。噛み合わせの乱れや、むし歯、歯周病、歯の根の先に病気等も認めらましたので、患者様と治療内容についてしっかりとご相談し、ご希望等も配慮し、インプラント治療やセラミック治療を含む全顎的な治療を計画致しました。 歯周病治療に始まり、虫歯治療、精密根管治療等も行い、最終的にインプラント治療とセラミックによる補綴治療(被せ物の治療)を行いました。治療後、「以前よりしっかり噛めるようになって嬉しいです。硬い物がしっかり噛めるようになるとこんなにも食事が美味しくなるのかと驚きました。入れ歯の時のような不快感もなく、快適です。」とのお言葉をいただきました。 当院ではこのように、患者様一人一人のご要望をしっかりお伺いし、丁寧な説明と精密治療を行い、できるだけやり直しのない治療をご提供させていただいております。 |
|---|
治療前
治療後
治療前
治療後
治療前
治療後
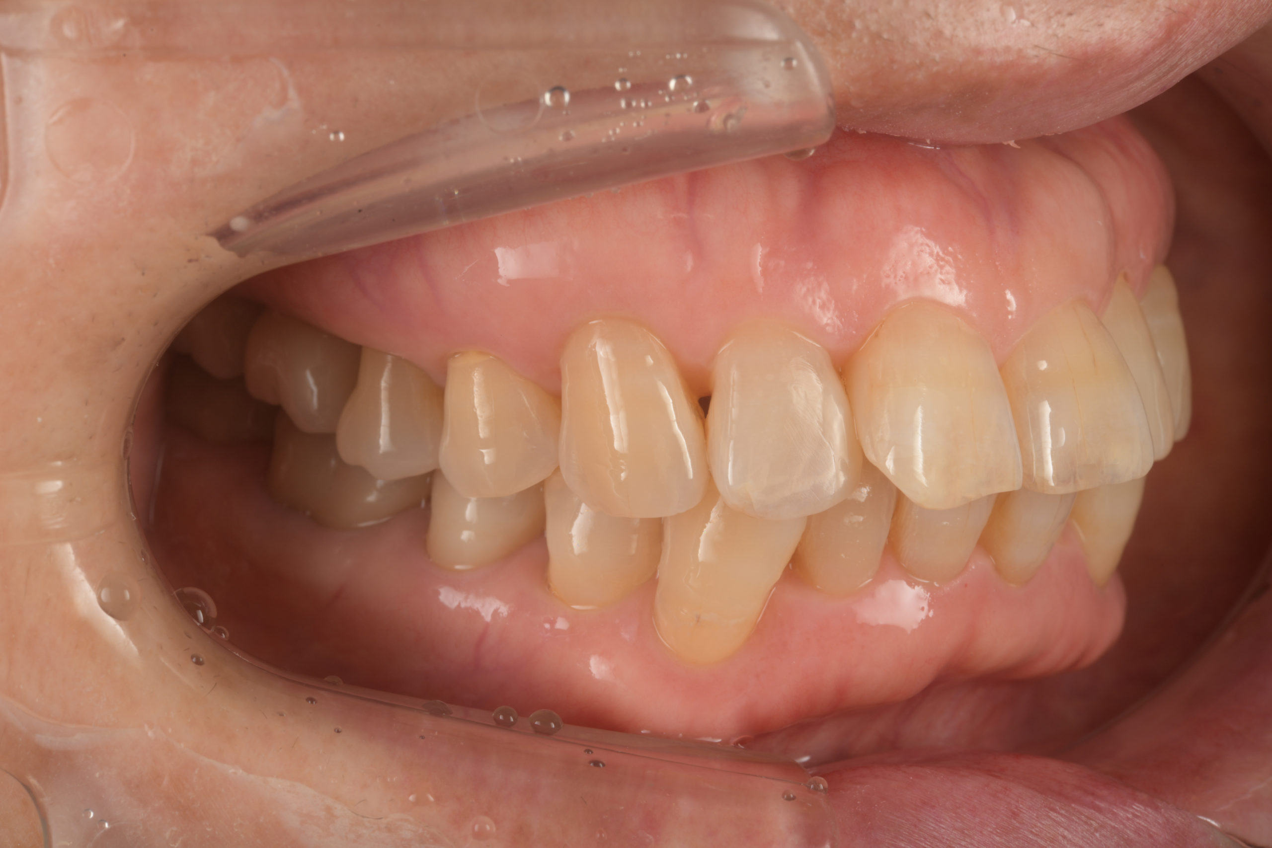
上顎臼歯部インプラント治療前
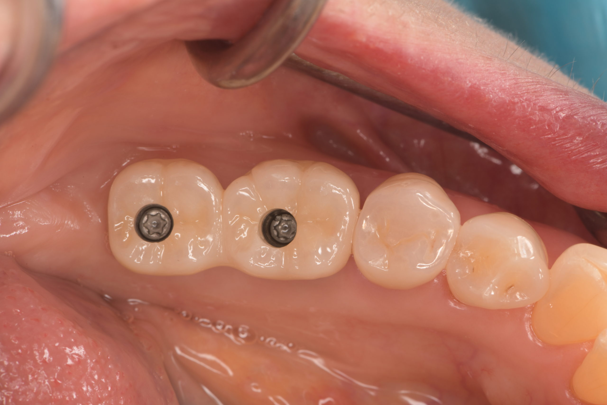
上顎臼歯部インプラント上部構造装着前
上顎臼歯部インプラント治療完了
下顎臼歯部インプラント治療前
下顎臼歯部インプラント上部構造装着前
下顎インプラント治療完了
左下臼歯部インプラント治療前
左下臼歯部インプラント上部構造装着前
左下臼歯部インプラント治療完了
| 治療期間 | 約1年半 |
|---|---|
| 費用 | 税込3,300,000円 |
| 治療のデメリット | セラミックによる修復物は、稀にかけてしまうことがあります。 インプラント治療後は、定期的なメインテナンスが必要となります。 |